Recency
Scientists from Queensland Museum have described three new species of carnivorous demosponges from the Great Barrier Reef, in Queensland, Australia.
Viewed by You are the first to view
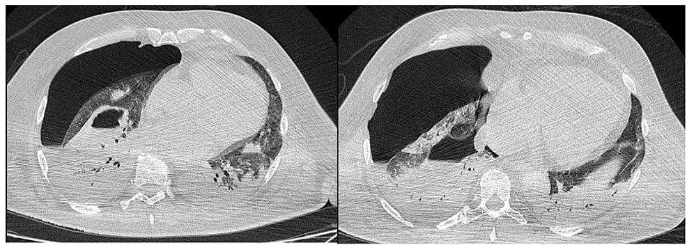
Introduction: The abnormal presence of free air in the thorax, pneumothorax, and pneumomediastinum are complications for critically ill patients suffering from coronavirus disease 2019 (COVID-19). The development of these events may lead to a poor prognosis a…
Viewed by You are the first to view
Drug lowers LDL cholesterol and reduces the risk of serious cardiovascular outcomes in a large trial. The cholesterol-lowering drug bempedoic acid reduced the combined rate of major adverse cardiovascular events by 13%, meeting its primary endpoint in a large…
Viewed by You are the first to view
PHILADELPHIA -- Each day before the Mets play, Buck Showalter checks in with every reliever on his roster. He talks to them to see how they have recovered from recent outings. He asks whether they can pitch that day. Then he makes his decisions -- taking the …
Viewed by You are the first to view
Even more cameras will soon be headed to the New York Jets' facility.
Interested?
Viewed by You are the first to view
The Florida governor calls for deputizing local law enforcement to police the border and deport migrants, saying his plan is “more aggressive” than the former president’s proposals.
Viewed by You are the first to view
Several right-wing parties walked away with some surprising — and troubling — wins.
Interested?
Viewed by You are the first to view
"I consider it very serious, unworthy and a sign of great incivility that a tourist defaces one of the most famous places in the world," said Italy's Minister of Culture Gennaro Sangiuliano.
Viewed by You are the first to view
The Rays haven't looked great in a few weeks, so it's finally time for a change at the top
Viewed by You are the first to view
“It is with a heavy heart that we share that the terrible tragedy that happened yesterday in Newton hit very close to home,” said relatives in a letter to their church community.
Viewed by You are the first to view
President Joe Biden said that neither the U.S. nor its NATO allies were involved in the Wagner Group rebellion against Russia's Vladimir Putin
Viewed by You are the first to view
The dock’s speakers don’t work when there is something plugged in via USB
Viewed by You are the first to view
Marine mammals were historically used by both the U.S. and Soviet Union, and a new claim from U.K. officials suggests Russia is training more.
Viewed by You are the first to view
Buck Showalter, attempting to make the Mets' nausea-inducing situation less unpleasant, offered three words: “Almost won today."
Viewed by You are the first to view
Viewed by You are the first to view
Kentucky basketball finally landed its first transfer portal addition of the offseason. Former West Virginia forward Tre Mitchell committed to Cats.
Viewed by You are the first to view
Consumer spending, the main engine of the economy, is still revved up and may not slow much anytime soon
Interested?
Viewed by You are the first to view
As dualist neurosurgeon Michael Egnor notes, human consciousness is immaterial by nature. Is the Koch-Chalmers bet a language game aimed at avoiding that fact?
Viewed by You are the first to view
Viewed by You are the first to view
Meredith, the first Black student to enroll at the University of Mississippi following a federal court order, was not hurt, his family said.
Viewed by You are the first to view
Google's introduction into the foldable world is here, and it's almost everything I could've hoped for.
Viewed by You are the first to view
The suspect accused of fatally shooting five people and injuring 19 others last year at an LGBTQ nightclub in Colorado has pleaded guilty to five counts of first-degree murder and agreed to serve five consecutive life sentences without the possibility of paro…
Viewed by You are the first to view
Researchers surprised to find fragments of RNA viruses in coral partners’ genomes. Scientists have discovered ancient RNA virus remnants in the DNA of organisms living within reef-building corals. This unexpected find, detailed in Communications Biology, coul…
Viewed by You are the first to view
The WSJ reports that Google started internally testing a new service called Playables, which allows users to play games on YouTube.
Viewed by You are the first to view