• You need to sign in or sign up before continuing.
Close
Recency
Although uncommon, dry eyes in youngsters can be dangerous and may be a sign of a more serious condition. If a child experiences recurrent dry eyes, its crucial to pay great attention and seek medical assistance to rule out any additional serious diseases.
Viewed by You are the first to view
Viewed by You are the first to view
Renal cell carcinoma metastasis of the parotid gland is extremely rare, and the present literature review found only 23 cases reported in the last two decades. We present a case of a 75-year-old woman with a colon cancer history who had parotid gland metastas…
Viewed by You are the first to view
The antibody was created after researchers modified a mouse model that was originally made to search for broadly neutralizing antibodies to HIV, which also mutates.
Interested?
Viewed by You are the first to view
Sleep Well Wednesdays: 5 reasons NOT to take antihistamines as a sleeping pill
Viewed by You are the first to view
A damaged heart, liver, and kidneys can result from low blood sugar, which is more harmful than high blood sugar.
Interested?
Viewed by You are the first to view
Health officials in the Republic of Ireland have issued a warning after an increase in E. coli cases and outbreaks in recent weeks. The Department of
Viewed by You are the first to view
With other refined sugar/carbs food items like rice we can balance it easily with proteins but it is difficult to balance plain sugarcane juice, elucidated Dr Rohini Patil, MBBS, Nutritionist and CEO of Nutracy Lifestyl
Viewed by You are the first to view
Viewed by You are the first to view
Washington: Exposure to air pollution in the first six months of life impacts a child's gut bacteria in ways that could increase risk of allergies,
Viewed by You are the first to view
The US has confirmed more than 20000 monkeypox cases according to the latest data from the Centers for Disease Control and Prevention CDC
Added by Auto importer
Interested?
Viewed by You are the first to view
Starchy foods are the most common types of carbohydrates and are good sources of energy. But for better weight management, you need to avoid these foods.
Interested?
Viewed by You are the first to view
Researchers at McMaster University have discovered a previously unknown bacteria-killing toxin that...
Interested?
Viewed by You are the first to view
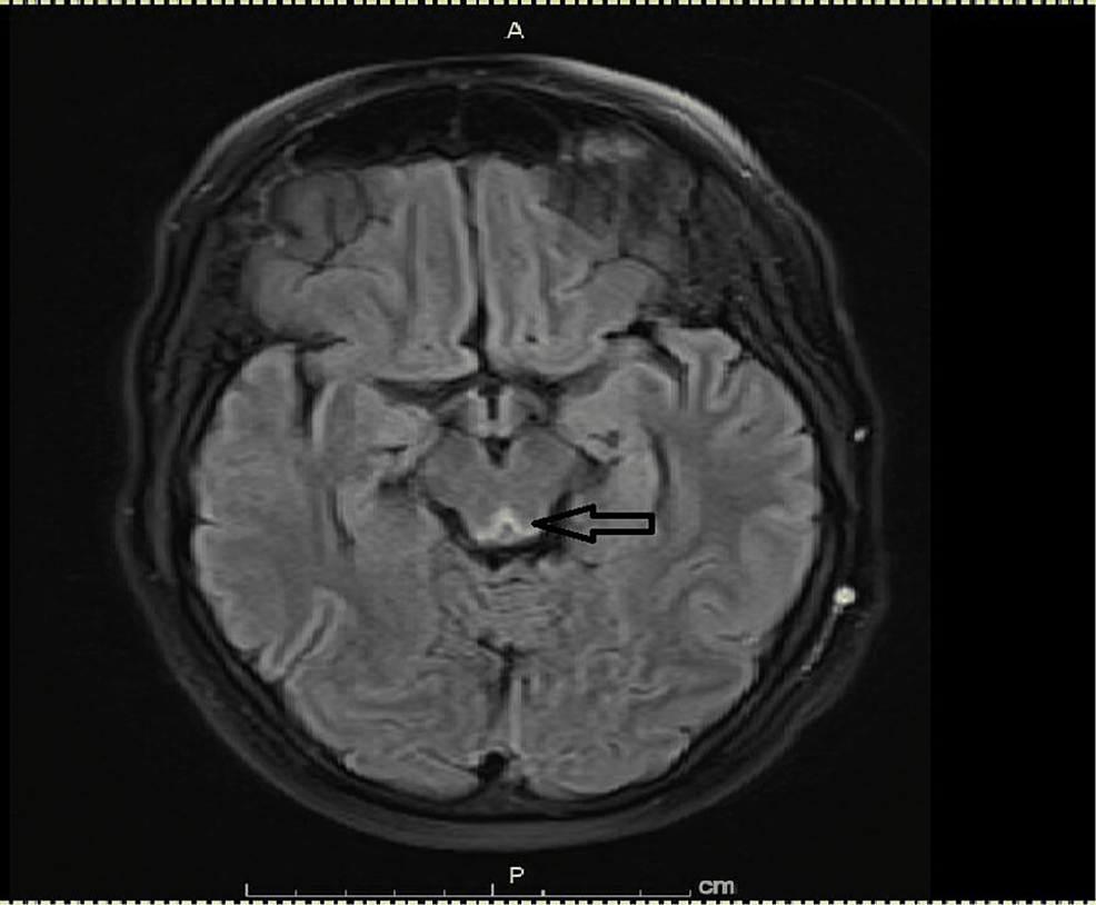
Wernicke’s encephalopathy (WE) is an underdiagnosed entity. A seizure can be the main manifestation of WE even without cortical involvement. This is a case report of a 45-year-old female patient with a past medical history of depression and poor oral intake w…
Viewed by You are the first to view
As a new parent, I’ve become acutely aware of every person in the vicinity of my daughter who has the slightest sniffle or looks vaguely unwell. After multiple trips to emergency in her six months of life and a bout of COVID, my protective instincts are in ov…
Interested?
Viewed by You are the first to view
The annoying habit that could actually predict higher cancer risk
Added by Auto importer
Interested?
Viewed by You are the first to view
PARIS: Ducks contaminated by mercury pollution are significantly more likely to get bird flu, a study found on Wednesday (Sep 7), pointing towards another way that human-driven changes to the natural world increase the risk of viruses spreading. Bird flu rare…
Interested?
Viewed by You are the first to view
Researchers have identified a molecular mechanism that helps regulate the progression of castration-resistant prostate cancer (CRPC). Downregulation of the protein FOXA1 regulates hypoxia, or lack of oxygen, to promote prostate cancer progression.<br /><br />
Interested?
Viewed by You are the first to view
Insomnia may be an important target for early intervention to help prevent age-related cognitive decline, investigators say.
Interested?
Viewed by You are the first to view
Flu season has only just begun, but some health officials are warning that this year it may start sooner and be more severe.
Interested?
Viewed by You are the first to view
Healthy Heart Diet Tips: By making heart-smart choices at home, at the grocery, and at your favourite restaurant, you can reduce your risk of heart disease. Check Dos and Don'ts here.
Viewed by You are the first to view
People who received a dose of smallpox vaccine 40 years ago still have immunity against monkeypox, Thailand’s top virologist Dr Yong Poovorawan said on Tuesday.
Viewed by You are the first to view
The National Construction Code has no minimum ventilation requirements for schools, aged care institutions, pubs, restaurants and health care facilities.
Viewed by You are the first to view