Recency
The World Health Organisation is monitoring a cluster of 10 cases of pneumonia from an unknown cause in Argentina in an outbreak that so far has included three deaths.
Viewed by You are the first to view
It seems like everyone is either sick or suffering from the after effects of being unwell this winter. Here at Function.allied Health we have seen a huge increase in patients presenting with coughing related injuries.  Did you know that a cough or a sneeze ca…
Viewed by You are the first to view
Viewed by You are the first to view
Nine people have contracted the mysterious illness.
Added by Auto importer
Interested?
Viewed by You are the first to view
Inflammatory pseudotumor is a rare benign neoplasm that has been described in nearly the entire body and is often mistaken for malignancy. The exact etiology remains unknown. We present a case of small bowel obstruction secondary to an inflammatory pseudotumo…
Viewed by You are the first to view
Viewed by You are the first to view
Adenocarcinoma is a tragically common iteration of lung cancer. Risk factors included primary or secondary exposure to tobacco smoke, family history of the disease, and occupationally related hazards, among others. Metastasis to various distant organs may pre…
Viewed by You are the first to view
RAGING hormones, the pressure of school and exams, as well as the stress of trying to fit in with the cool kids, means the teenage years can be challenging.
Interested?
Viewed by You are the first to view
COVID: The emergence of new SARS-CoV-2 variants may decrease long-term vaccine durability, increasing the risk of infection and hospitalization. However, evidence is limited regarding the vaccine effectiveness of three vaccines over time.
Viewed by You are the first to view
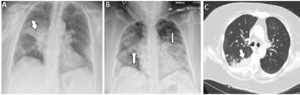
Tests for known respiratory viruses and other viral, bacterial and fungal agents were all negative.
Interested?
Viewed by You are the first to view
Ian Michael Glynn - The Lancet
9/3/22 at 10:38am
Physiologist and authority on the sodium pump. He was born in London, UK, on June 3, 1928 and died in Cambridge, UK, on July 7, 2022 aged 94 years.
Viewed by You are the first to view
Our bio-technologists and scientists deserve a huge pat on the back for developing the quadrivalent Human Papilloma Virus (qHPV) vaccine, called Cervavac. Along with hoisting India high up in the global medico-pharma fraternity, it promises to enable a big le…
Viewed by You are the first to view
The drugstore-chain owner appears to have prevailed over interested parties including Amazon and UnitedHealth Group for a deal that could be valued at around $8 billion.
Viewed by You are the first to view
Learn how some use the combination of butalbital, acetaminophen, and caffeine to treat tension headaches.
Viewed by You are the first to view
Health Minister Dr Joe Phaahla is concerned about 150 000 people living with TB who remain untreated. This week, Phaahla delivered a keynote address during Treatment Action Campaign’s (TAC) seventh national congress held in Benoni, Ekurhuleni.
Viewed by You are the first to view
The most effective way for people with diabetes to deliver insulin is also incredibly intrusive.
Interested?
Viewed by You are the first to view
�ڡ���Ȼ����־��ת������ѧ��(Translational Psychiatry)��������һƪ�����У����ݴ�ѧŷ�ķ�У(University of California, Irvine)�Ŀ�ѧ�ƿ�ѧ���ŶӼ��裬��ҹ����������һ�ֹ㷺�ľ��񼲲����еľ��������أ�������ӻ������о������ǿ�������Ʒ������ƵĹؼ���
Viewed by You are the first to view
The first Zika case since March 2020 was reported in Singapore during the week of August 21 to 27, the Straits Times reported. Zika is a virus infection transmitted by the bite of an infected Aedes mosquito. The insect is also a carrier of the dengue and chik…
Viewed by You are the first to view
Misdiagnosed and mistreated. That's how one Austin man feels after getting monkeypox. Read more: https://www.kxan.com/news/local/austin/monkeypox-patient-say...
Interested?
Viewed by You are the first to view
Viewed by You are the first to view
Medical experts explain this connection—and share what to eat to boost your mood.
Viewed by You are the first to view
Ottawa Public Health wants residents to know that even in September, there remains an increased risk for human West Nile Virus infection.
Viewed by You are the first to view
����,�ڷ������л���������ڿ�Diabetologia (2021 IF: 10.46 )���߷��������ѧ��������ѧԺ���в�������ͳ��ѧϵ���ο������о�����,��Ϊ��Associations of polysocial risk score, lifestyle and genetic factors with incident type 2 diabetes: a prospective cohort study ��,�����Ľ�ʾ�����…
Viewed by You are the first to view
COVID-19 disease and anti-neutrophil cytoplasmic antibody (ANCA)-associated vasculitis are both multi-systemic conditions. It is postulated there is a causal relationship between both conditions and this is supported by some case reports. The symptoms of COVI…
Viewed by You are the first to view
The extraordinary absence of RSV during winter 2020–21 probably resulted in a cohort of young children without natural immunity to RSV, thereby raising the potential for increased RSV incidence, out-of-season activity, and health-service pressures when measur…
Viewed by You are the first to view