Recency
The new research reveals that monocytes alone are capable of facilitating faster healing of wounds. Monocytes help the healing process by regulating leptin levels and blood vessel growth during wound repair.
Viewed by You are the first to view
Some over-the-counter medicine to treat fever, cough and cold are in short supply at pharmacies here in Singapore, as more Covid-19 patients opt to self-medicate.
Viewed by You are the first to view
Gallstone ileus is one of the rare and insidious causes of small bowel obstruction, which should always be kept in mind by clinicians, especially when encountering older people with a history of gallstones disease. The high mortality and morbidity rate associ…
Viewed by You are the first to view
MAKATI City has formed a task force to monitor monkeypox cases and proactively prevent community transmission of the disease.Mayor Abigail Binay said that the panel was created...
Interested?
Viewed by You are the first to view
The age-related bone decline is common – however, osteoporosis-related is not. In either case, diet can play a game-changing role in bone density management. And according to a new study, there is a particular variety of cheese that could beat bone loss – it …
Viewed by You are the first to view
Dear Doctors: Can you please talk about sinusitis? I've been having headaches and postnasal drip for a few months, and I thought it was because of my allergies. But my
Viewed by You are the first to view
A study has added to the evidence of Arcobacter being detected in food products but the significance of the findings are still unclear. Several species
Interested?
Viewed by You are the first to view
Nick Webster of 'The National' finds out how his unique genetic profile offers crucial insights into potential health hurdles to come
Viewed by You are the first to view
Reinfection with hepatitis C virus (HCV) is low among people receiving opioid agonist therapy (OAT) but appears to be at its peak during the first 24 ...
Viewed by You are the first to view
New York City finds evidence of long-suppressed virus linked to recent samples in UK and Israel
Viewed by You are the first to view
The World Health Organization says it's holding an open forum to rename the disease monkeypox, after some critics raised concerns the name could be derogat
Interested?
Viewed by You are the first to view
The World Health Organization says it is holding an open forum to rename the disease monkeypox after some critics raised concerns the name could be derogatory or have racist connotations
Viewed by You are the first to view
If you're confused between your protein shake and protein rich foods, here's which source of protein is better for your health.
Interested?
Viewed by You are the first to view
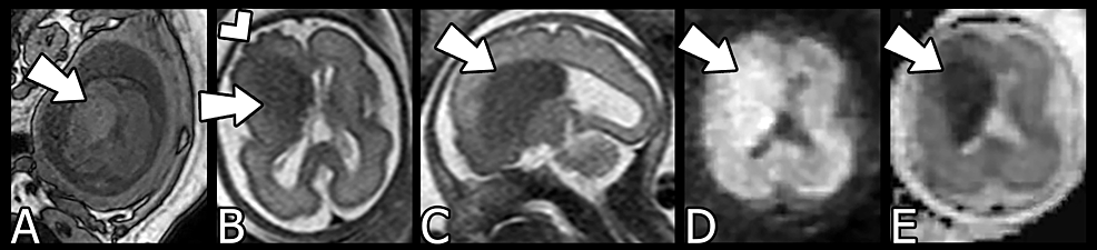
Hemimegalencephaly, or unilateral megalencephaly, is a sporadic congenital brain malformation characterized by enlargement of a cerebral hemisphere due to an abnormal proliferation of neurons or glial cells. Hemimegalencephaly is part of a spectrum of disorde…
Viewed by You are the first to view
THERE ARE hundreds of diet methods out there and often it's hard to find one that works. Quick-fix diets are usually very popular due to their ability to help people lose weight fast however they're not always sustainable. But a nutritionist has revealed one …
Viewed by You are the first to view
Viewed by You are the first to view
DEFORMED joints, for example, can lead to a sharp, stabbing pain, or a dull ache that is unpleasant. One common condition, however, could be making your bones more susceptible to deterioration.
Viewed by You are the first to view
I just concluded the series on nuts, so, this week, I will discuss how to make milk out of them. I will talk about what nutritionists say about the nuts or their milk and how to heat them up.
Interested?
Viewed by You are the first to view
So we asked three experts — two immunologists and an epidemiologist — to weigh in on some of the hundreds of questions we’ve gathered from readers over the past few weeks, based on their expertise and opinion.
Viewed by You are the first to view
TU Delft researchers have developed a new method for producing nanocarriers loaded with radioactive salts for imaging and treatment
Viewed by You are the first to view
Added by Auto importer
Interested?
Viewed by You are the first to view
Researchers have discovered that they can control the stickiness of adhesive bandages using ultrasound waves and bubbles. This breakthrough could lead to new advances in medical adhesives, especially in cases where adhesives are difficult to apply su
Viewed by You are the first to view
It goes without saying that hard physical labor wears you out, but what about hard mental labor? Sitting around thinking hard for hours also makes one feel worn out. Now, scientists have new evidence to explain why this is. Based on their findings, the reason…
Added by Auto importer
Interested?
Viewed by You are the first to view
The endocrine system is an important puzzle piece when addressing psychiatric disorders.
Viewed by You are the first to view
You're wasting a delicious and healthy food every time you peel a banana and toss away the skin. Recent research has demonstrated that banana peels may be used to make baked goods that are on par with or even superior to those made with wheat flour, provided …
Viewed by You are the first to view